【NOW健康 陳郁茹/台中報導】71歲黃阿嬤偶爾會有時間感混亂、行走緩慢情形,家人原本不以為意,未料阿嬤最近頻頻「當機」,不僅對外界刺激沒有反應,甚至還暈厥送急診。檢查過程中,發現腦部影像檢查出現「熱十字麵包徵候」,醫師綜合多項臨床表現後研判是罕病「多發性系統萎縮症」惹禍,幸好經保守治療後症狀改善,也讓阿嬤重展笑臉。
阿嬤臥姿血壓破180無感 暗藏身體退化危機
亞洲大學附屬醫院神經內科主任吳致螢指出,失智症多數源自於腦部退化性疾病,而繼發性因素混和參雜後,共同影響腦部功能之狀況亦非少見,如腦血管疾病或頭部外傷等,從而衍生諸多非典型失智症。其中個案所罹患的「多發性系統萎縮症」就是其中之一,主要特徵為神經系統退化,如運動控制系統、自律神經系統、小腦平衡系統等恐受影響。
吳致螢描述,黃阿嬤長期穩定控制糖尿病,此次急診入院,經腦部電腦斷層、心電圖及抽血檢查皆無異常,起初懷疑為癲癇發作。進一步住院觀察並接受腦波檢查,結果依舊正常。然而,醫療團隊發現,病患臥姿量測血壓時收縮壓高達180至200毫米汞柱,但本人毫無異常感受,同時宣稱平日坐姿測量血壓時數值正常。
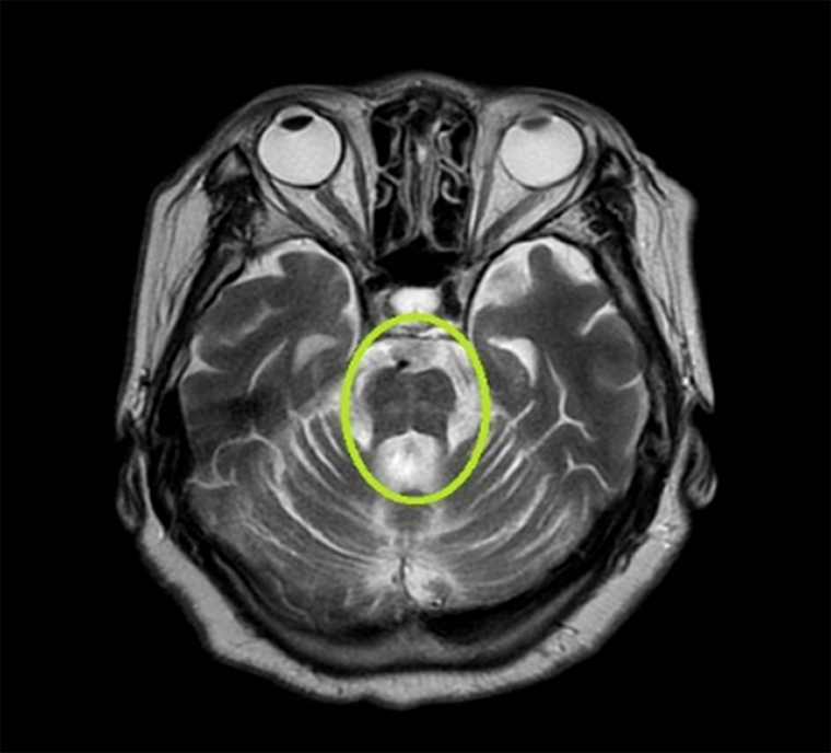
有鑒於此,醫療團隊特別安排個案接受躺、坐、站時不同血壓檢查,發現收縮壓值由臥姿改變至站姿後,竟下降超過40毫米水銀柱且同時出現頭昏感,遠大於一般人血壓下降不超過20毫米水銀柱的範圍。同時病患的腦部核磁共振影像也發現,腦幹異常萎縮與出現獨特的熱十字麵包徵候(Hot cross bun sign),綜合上述臨床症狀表現後,醫師懷疑是罹患多發性系統萎縮症(MSA)。

▲黃阿嬤的腦部MRI影像出現腦幹異常萎縮,及獨特的「熱十字麵包徵候」異象。(圖/亞洲大學附屬醫院提供)
多發性系統萎縮症能治? 臨床無有效藥物
多發性系統萎縮症是相對罕見的原發性腦部退化疾病,吳致螢表示,患者會有記憶力不佳、帕金森氏症及明顯自律神經失常等症狀,其盛行率僅約莫10萬分之2至5間,且無有效治療藥物,只能以症狀治療為主,例如以左旋多巴胺治療帕金森氏症狀,但效果並不持久。
針對該名患者,吳致螢建議採取非藥物治療的方式,包括增加水分攝取、飲食中稍微增加鹽分,及穿著高腰彈性襪等措施後,病患症狀顯著改善,最終順利出院。但醫師也提醒家屬,應多留意患者日常生活狀況,若有任何異常,務必儘速就醫。
隨著國人平均餘命逐漸增長,失智症的盛行率逐年增加,據調查65歲以上老年人,20人中就有1人罹患輕度以上的失智症,90歲以上更是接近3位中有1位罹病。吳致螢提醒,家屬發現親人有出現短期記憶力下降且生活功能逐漸失常,就需提高警覺。若合併出現如動作障礙、癲癇或是直立昏厥、頻尿、心律或血壓波動大等自律神經失調症狀,家屬可將觀察結果告知醫師,臨床上也會藉由腦部核磁共振影像、腦波儀、甚至腦脊隨液檢驗以確定或排除可能的病因。
# 首圖來源/亞洲大學附屬醫院提供
更多NOW健康報導
▸男子主動脈擴大逾5公分 採1療法防主動脈剝離解決隱憂
▸眩暈不是老人病!溫差大眩暈找上門 常伴隨耳鳴、重聽